Gentuity Announces Advanced Intravascular Imaging Solutions to Become Available Through GE HealthCare in the United States

Collaboration aims to expand access to High-Frequency OCT Imaging across U.S. cardiac catheterization labs

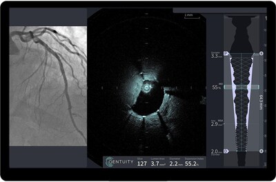
SUDBURY, Mass., Feb. 25, 2026 /PRNewswire/ -- Gentuity LLC, a Massachusetts-based medical technology company specializing in next-generation intravascular imaging devices, today announced a commercial collaboration with GE HealthCare to further improve the availability of Gentuity's HF-OCT Imaging System and Vis-Rx® PRIME Micro-Imaging Catheter. As part of the collaboration, GE HealthCare will help expand Gentuity's reach by connecting cardiac catheterization lab customers in the United States with Gentuity products. Together, Gentuity and GE HealthCare share a goal of advancing patient care by providing tools—including the High-Frequency OCT Imaging System (HF-OCT)—designed to enable more precise planning and treatment for percutaneous coronary interventions (PCIs).

This collaboration with GE HealthCare complements Gentuity's growing direct sales and clinical support footprint in the U.S., and also strengthens joint development efforts between the two companies.

"The relationship with GE HealthCare represents an important opportunity to bring the benefits of HF-OCT intravascular imaging to a wider set of physicians and patients in the U.S." said Desmond Adler, President of Gentuity. "Together, we are enabling broader access to technologies designed to enhance clinical decision-making and optimize patient outcomes today."

"We are excited to announce Gentuity's innovative imaging technology together with our intelligent, connected cath lab solutions to support more precise PCI planning," said Jyoti Gera, CEO, CardioVascular and Interventional Solutions at GE HealthCare. "This new agreement builds on our strong existing relationship and will help bring enhanced intraprocedural visualization to more clinicians, with the goal of giving them greater confidence in managing complex cases and improving patient outcomes in the U.S."

Gentuity and GE HealthCare recently appeared together at the Transcatheter Cardiovascular Therapeutics Conference, one of the world's largest educational meetings dedicated to interventional cardiovascular medicine, where Gentuity's HF-OCT imaging technology was featured alongside GE HealthCare's portfolio of interventional solutions, highlighting the potential for integrated imaging modalities and workflow optimization in the cath lab. Gentuity and GE HealthCare also plan to exhibit their products together at the upcoming Cardiovascular Research Technologies Conference, held from March 7 to March 10, 2026.

For more information about Gentuity's products, please visit www.gentuity.com or contact info@gentuity.com.

Forward-Looking Statements

This release contains forward looking statements. These forward-looking statements might be identified by words, and variations of words, such as "will," "expect," "may," "would," "could," "plan," "believe," "anticipate," "intend," "aim," "estimate," "potential," "position," and similar expressions. These forward-looking statements may include, but are not limited to, statements about the collaboration, the anticipated outcomes of the collaboration, and any new products or solutions resulting from the collaboration or otherwise. These forward-looking statements involve risks and uncertainties, many of which are beyond the control of the Company. Factors that could cause the Company's actual results to differ materially from those described in its forward-looking statements include, but are not limited to, the Company's inability to achieve the anticipated benefits of this collaboration, business or commercial disruptions, and unexpected risks and liabilities impacting the Company. There may be other factors not presently known to the Company or which it currently considers to be immaterial that could cause the Company's actual results to differ materially from those projected in any forward-looking statements the Company makes. The Company does not undertake any obligation to update or revise its forward-looking statements except as required by applicable law or regulation.

Media Contact:

Gentuity LLC

Email: info@gentuity.com

Phone: +1 888-967-7628

About Gentuity LLC:

Gentuity LLC is a medical technology company pioneering the next generation of intravascular imaging. Headquartered in Sudbury, Massachusetts, Gentuity is dedicated to crossing new frontiers in cardiovascular care so patients can focus on living. The company's HF-OCT Imaging System delivers the latest in intravascular OCT technology with market-leading usability, providing complete visualization to help physicians assess disease and plan treatment with confidence. Its ultra-low-profile 1.8F Vis-Rx® PRIME Micro-Imaging Catheter provides rapid 1-second, 100-mm imaging for full-vessel clarity in a single pullback, enabling real-time decision-making throughout percutaneous coronary intervention. Designed to integrate seamlessly into existing workflows, these innovations represent a new era in intravascular imaging aimed at advancing patient care.

Cision View original content to download multimedia:https://www.prnewswire.com/news-releases/gentuity-announces-advanced-intravascular-imaging-solutions-to-become-available-through-ge-healthcare-in-the-united-states-302696402.html

SOURCE Gentuity, LLC

MORE ON THIS TOPIC