Researchers and doctors from Northwell Health and the Feinstein Institutes for Medical Research have shown that the coronavirus disease 2019 (COVID-19) leads to acute kidney injury (AKI) in approximately 37 percent of hospitalized patients.
This press release features multimedia. View the full release here: https://www.businesswire.com/news/home/20200717005523/en/

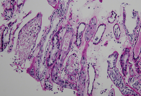
Biopsy image showing acute tubular necrosis in a kidney. (Credit: Feinstein Institutes)
Researchers published their findings July 13 in the Journal of American Society of Nephrology, describing biopsied kidney samples from 10 patients treated at Northwell Health – New York State’s largest health system and responsible for treating more hospitalized COVID-19 patients than any health system in the nation between March and May – who tested positive for COVID-19 and exhibited clinical features of AKI. The kidney biopsy samples revealed the presence of ATN, some with other pathological findings, but no evidence of the virus in the kidney tissue itself.
“Kidney injury occurs in more than one-third of hospitalized COVID-19 patients, and various catalysts have been postulated,” said Purva Sharma, MD, lead author on the paper, member of the Feinstein Institutes and Assistant Professor at Donald and Barbara Zucker School of Medicine at Hofstra/Northwell. “What these biopsies show us is that the kidney injury from COVID-19 happens due to complications of the disease and is not because of direct viral infection of the kidney.”
Since kidney injury has been observed in COVID-19 patients, the question of direct viral infection of the kidney has been debated by the medical research community. Through this research, there was no ultrastructural or immunohistochemistry evidence to show viral infection, and instead, the investigators hypothesize that the main mechanism of kidney injury is through ischemic/hypoxic (the lack of oxygen being delivered to the kidneys), or sepsis-related injury.
“This is an important step in understanding the pathology findings seen in the kidney in COVID-19,” said Vanesa Bijol, MD, chief of renal pathology at Northwell Health, and senior author on this study. “This will add to the ongoing literature on how COVID-19 affects various organs.”
The paper outlines the care protocol and biopsy results on the 10 patients (five males, five females) case series. The mean age of the patients was 65 years old; five were Black, three Hispanic, and two white. All patients had proteinuria and some had hematuria. All 10 biopsies showed tubular injury of varying degrees. Eight of the patients required dialysis during their hospital stay.
“Dr. Sharma’s work provides an important insight into how COVID-19 damages kidney function,” said Kevin J. Tracey, MD, president and CEO of the Feinstein Institutes. “It now appears treating the body’s reaction to the virus, and not the virus itself is the key to preventing serious kidney complications.”
About the Feinstein Institutes
The Feinstein Institutes for Medical Research is the research arm of Northwell Health, the largest health care provider and private employer in New York State. Home to 50 research labs, 3,000 clinical research studies and 5,000 researchers and staff, the Feinstein Institutes raises the standard of medical innovation through its five institutes of behavioral science, bioelectronic medicine, cancer, health innovations and outcomes, and molecular medicine. We make breakthroughs in genetics, oncology, brain research, mental health, autoimmunity, and are the global scientific leader in bioelectronic medicine – a new field of science that has the potential to revolutionize medicine. For more information about how we produce knowledge to cure disease, visit http://feinstein.northwell.edu and follow us on LinkedIn.
View source version on businesswire.com: https://www.businesswire.com/news/home/20200717005523/en/
Source: Northwell Health