BeiGene

NEWS
Heading into the holidays, there was still plenty of clinical trial news last week. Here’s a look.
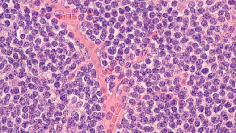
Almost one month after BeiGene’s Bruton’s kinase inhibitor Brukinsa won accelerated approval for mantle cell lymphoma, the company reported the drug failed to hit the mark in a late-stage trial assessing the drug as a treatment for Waldenström’s macroglobulinemia.
BeiGene, Ltd. announced that the company will present at the 31st Annual Piper Jaffray Healthcare Conference in New York, NY.
FDA
It is the first BeiGene-discovered drug to be approved.
Amgen announced that it has agreed to acquire a 20.5% stake in BeiGene for approximately $2.7 billion in cash and concurrently has entered into a strategic collaboration pursuant to which BeiGene will commercialize XGEVA®, KYPROLIS® and BLINCYTO® in China and advance 20 medicines from Amgen’s innovative oncology pipeline in China and globally.
“This strategic collaboration with BeiGene will enable Amgen to serve significantly more patients by expanding our presence in the world’s most populous country,” said Robert A. Bradway, Amgen’s chairman and chief executive officer.
Biotech and pharma companies from across Europe and Asia share company and pipeline updates.
The companies will combine their research expertise to develop BGB-3245, an investigational, oral, selective small molecule inhibitor of monomer and dimer forms of activating B-RAF mutations including V600 BRAF mutations, non-V600 B-RAF mutations, and RAF fusions.
Chinese companies that gain toeholds in the U.S. are poaching executives from U.S. companies who have significant clinical and regulatory experience.
JOBS
IN THE PRESS