Biogen

NEWS
So far during the first six months of the year, more than $100 billion has been spent on a myriad of acquisitions across the pharma and biotech industries.
Cambridge, Massachusetts-based Biogen exercised its option to acquire additional shares of Samsung Bioepis, a joint venture with Samsung BioLogics that was founded in 2012.
It feels like we’re standing on the edge of a precipice. Despite the ho-hum recent performance of biotech stocks, amazing things are about to happen. And one of the most amazing of all is gene therapy.
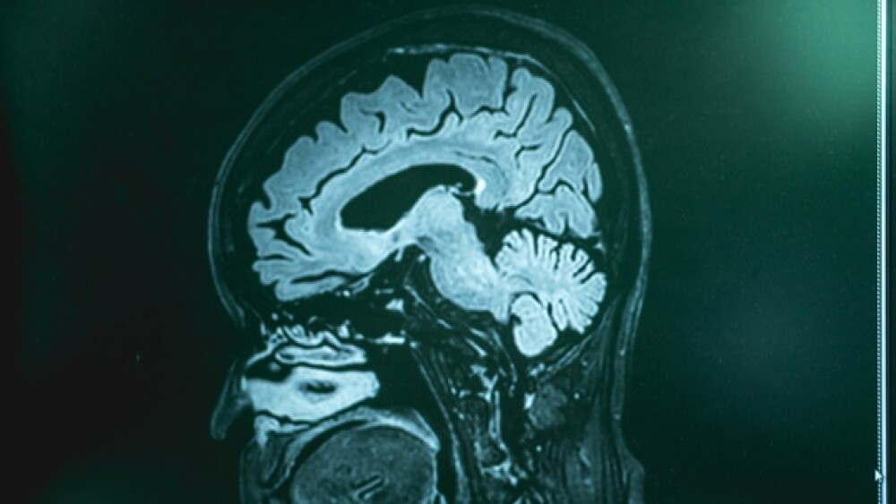
The Dementia Discovery Fund (DDF), a venture capital fund focused solely on dementia-related investments, completed $350 million of fundraising. The initial target was $200 million.
A new report highlights some concerns about the long-term commercial viability of game-changing gene therapies that can radically transform the lives of patients.
June is Alzheimer’s & Brain Awareness Month and June 21 is dubbed “The Longest Day,” which focuses on raising awareness of Alzheimer’s disease.
PTC Therapeutics presented updated interim clinical data from Part 1 of its FIREFISH clinical trial of risdiplam (RG7916) in babies with Type 1 Spinal Muscular Atrophy.
AbbVie and the Keck Graduate Institute (KGI) School of Pharmacy have partnered to form the first AbbVie-KGI Biopharmaceutical Industry Fellowship.
Regenxbio snagged $100 million from Novartis under its license agreement with gene-therapy company AveXis, which the Swiss company acquired for $8.7 billion earlier this year.
AWARDS
  • 2022 Best Places to Work
  • 2023 Best Places to Work
JOBS
IN THE PRESS